Le parodonte est composé de tissus mous (la gencive et le ligament desmodontal) et de tissus durs (le cément et l’os alvéolaire). La gencive est le premier tissu visible de l’extérieur. Tous les composants du parodonte sont essentiels pour la stabilité et la santé des dents.
Ce système d’attache de la dent est détruit lorsqu’une maladie parodontale se manifeste ; on parlera alors de « perte d’attache ». Il s’agit d’une destruction de nature inflammatoire initiée par les bactéries présentes dans la plaque dentaire.
Le saignement, le changement de couleur ou de texture des gencives constituent les premiers signes de de la maladie parodontale.
D’autres symptômes comme la mobilité des dents, la rétraction des gencives ou une mauvaise haleine doivent alerter sur une altération de la santé parodontale.
Les maladies parodontales constituent un véritable problème de santé publique avec un impact négatif sur la capacité masticatoire, l’esthétique, la santé générale et la qualité de vie.
Différents types de maladie parodontale existent (classification de Chicago EFP-AAP, 2017) :
La gingivite
Gingivite induite par la plaque
Gingivite non induite par la plaque
La parodontite, classifiée selon :
Sa sévérité et sa complexité (4 stades allant de I à IV)
Son taux de progression (3 grades de progression allant de A à C)
Les maladies parodontales nécrotiques
Gingivite nécrotique
Parodontite nécrotique
Stomatite nécrotique
Les parodontites signes cliniques d’autres maladies
Maladies à impact majeur comme le syndrome de Papillon Lefèvre, le syndrome d’Ehlers-Danlos, l’épidermolyse bulleuse
Maladies à impact variable comme le diabète ou le tabagisme
Les maladies entrainant une perte des tissus parodontaux sans parodontite comme le carcinome épidermoïde gingival
Si toutes les gingivites n’évoluent pas vers la parodontite, le patient atteint de cette pathologie a toujours traversé une phase d’inflammation gingivale. La prévention est fondamentale.

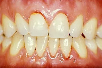
La gingivite se caractérise par une atteinte de la gencive sans atteinte de l’os sous-jacent. C’est une inflammation d’origine bactélkrienne déclenchée par la plaque dentaire au voisinage du collet des dents. Les gencives sont rouges, gonflées et peuvent saigner au brossage ou de façon spontanée.


La parodontite, quant à elle, implique une destruction de l’os alvéolaire et donc une diminution du support de la dent pouvant aller jusqu’à la perte de la dent. Des mobilités peuvent apparaître, entrainant des changements dans l’alignement des dents. Du tartre est présent sur et sous les gencives.

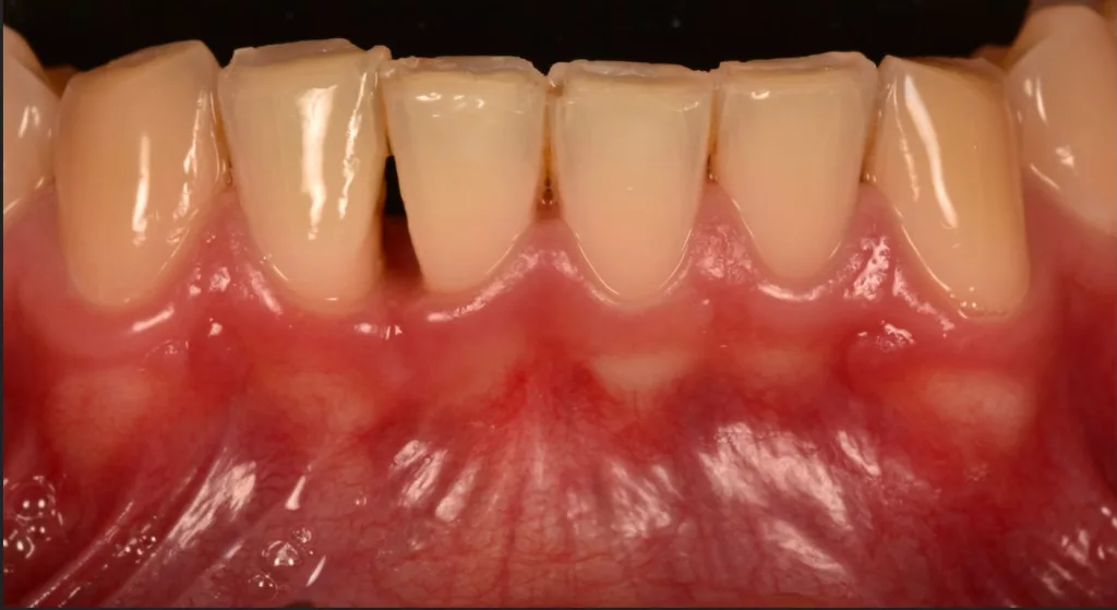
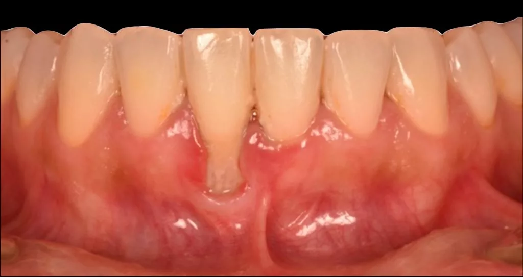
L’un des symptômes de la maladie parodontale est la visibilité des racines des dents par rétractation des gencives, également appelée récession gingivale.
Cette dénudation de la surface dentaire peut également intervenir en cas de frottement mécanique trop intense au niveau de la zone, par exemple avec un brossage traumatique.

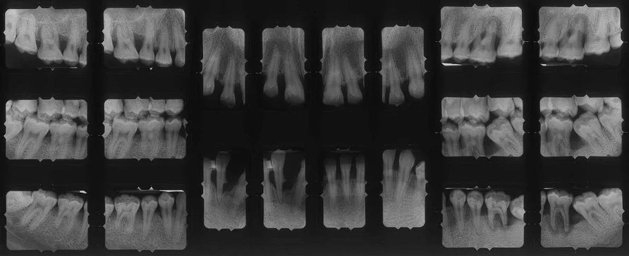
Réalisé lors de la première consultation, le bilan parodontal est basé sur un examen clinique et radiologique spécifiques.
Le bilan parodontal comporte :
Un questionnaire médical et dentaire complet
Un examen des structures extra orales et intra orales
Un bilan photographique
Un bilan de sondage aussi appelé charting parodontal.
Un questionnaire médical complet est effectué lors de la première consultation. En effet, de nombreuses pathologies telles que le diabète, les maladies cardio-vasculaires, la polyarthrite rhumatoïde ou les maladies inflammatoires chroniques de l’intestin peuvent avoir des liens bi-directionnels avec la maladie parodontale.
La consommation de tabac a également un impact majeur sur la santé parodontale.
Les antécédents dentaires seront renseignés.
L’historique de parodontite ou de perte dentaire précoce dans la famille sont recherchés.
Un bilan photographique est réalisé afin d’enregistrer l’état initial. Il permet de communiquer avec le patient et les autres praticiens intervenant au cours du traitement (chirurgiens-dentistes effectuant les soins ou les traitements prothétiques, orthodontistes, endodontistes).
Ce bilan photographique sera renouvelé en fin de traitement.


Le sondage est réalisé à l’aide d’une sonde parodontale millimétrée. 6 mesures sont réalisées au niveau de chaque dent, 3 au niveau de la face avant et 3 au niveau de la face arrière.
Cet examen permettra de mesurer la profondeur des poches parodontales. La poche est l’espace formé entre la gencive et la surface de la dent par la maladie parodontale.

Le charting parodontal permettra également de :
Mesurer l’indice de plaque (pourcentage de dents comportant de la plaque dentaire)
Mesurer l’indice de saignement (pourcentage de dents saignant au sondage ou spontanément)
Déterminer si des lésions de furcation sont présentes (lésions entre les racines des molaires)
Mesurer le grade de mobilité de chaque dent, pouvant aller de 0 à 4.


L’examen radiographique complète l’examen clinique.
L’examen de référence en parodontologie est le bilan long cône, constitué de radiographies rétro alvéolaires de toutes les dents réalisées à l’aide d’angulateurs. Les images obtenues ne sont ainsi pas déformées, contrairement à une radiographie panoramique qui ne peut constituer qu’un examen de débrouillage.

Un diagnostic parodontal sera établi sur la base des données médicales, cliniques et radiologiques recueillies.
Le parodontiste évaluera :
La sévérité et la complexité de la parodontite (4 stades allant de I à IV)
Le taux de progression (3 grades de progression allant de A à C)
Un pronostic parodontal sera ensuite déterminé dent par dent, permettant de déterminer les possibilités de traitement et/ou de conservation pour chaque dent jusqu’à 10 ans.
A partir de ces données, un plan de traitement parodontal sera établi et exposé au patient ainsi qu’aux autres chirurgiens-dentistes (généralistes ou spécialistes) impliqués dans le traitement. Des devis seront établis et l’organisation des séances planifiée.