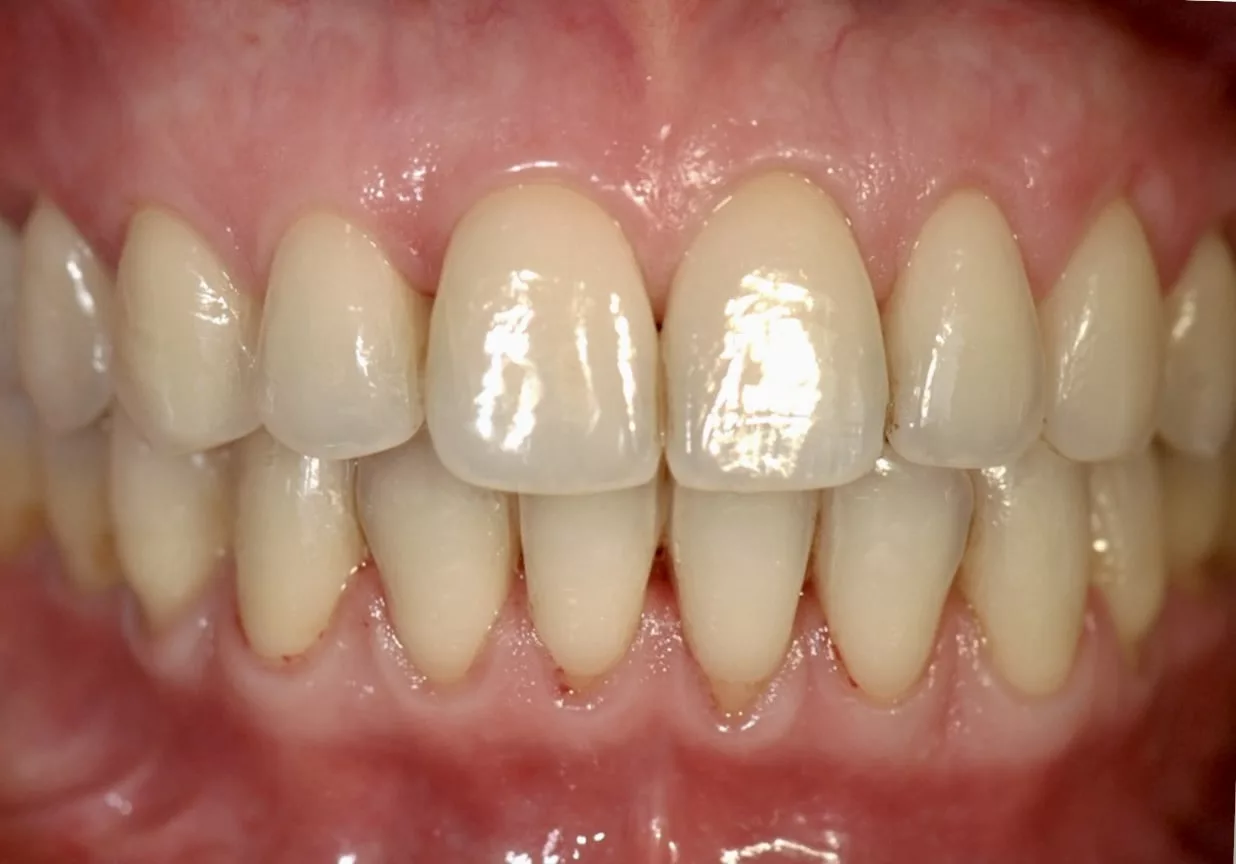
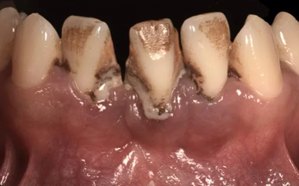
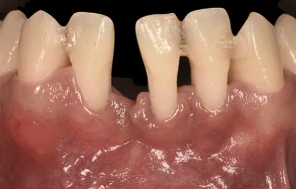
Préalable à tout traitement parodontal, la thérapeutique initiale, non chirurgicale, cherche à décontaminer les surfaces des racines dentaires, et notamment les zones situées sous la gencive. En effet les bactéries adhèrent très fortement à ces régions. Leur persistance, si elles ne sont pas rapidement éliminées, produit un effet pathogène (inflammation, abcès) pour les tissus de support des dents (gencive et tissu osseux).
Des bains de bouche (antiseptiques) ou des antibiotiques ne suffisent pas à les éliminer. Aussi des techniques manuelles ou ultrasoniques, indolores, sont indispensables décontaminer les surfaces colonisées par la plaque et le tartre.
Parodontologie à Bordeaux
Docteurs Mora et Bessou
Une anesthésie locale pourra être administrée afin d’améliorer le confort du patient.
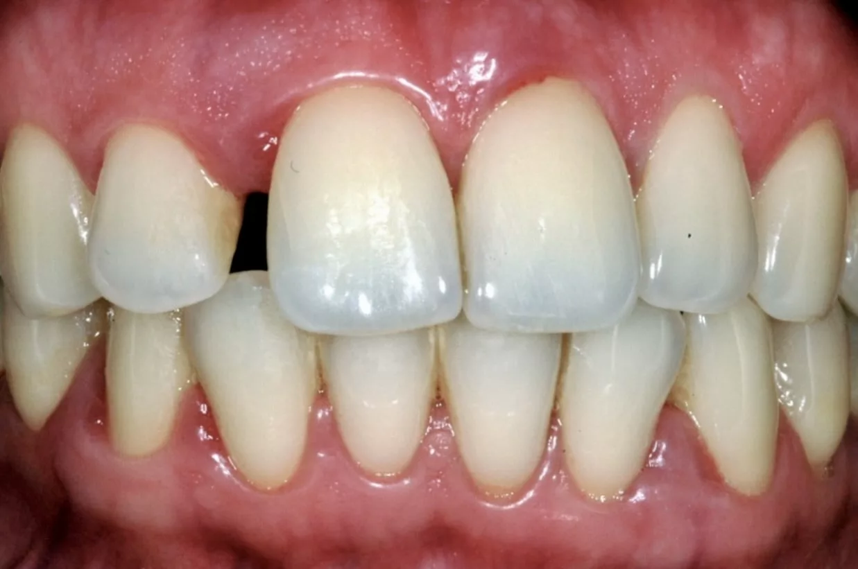
En cas de mobilité dentaire prononcée, des contentions pourront être réalisées afin d’immobiliser les dents concernées et apporter un confort de vie au patient.