Traitement parodontal chirurgical à Bordeaux

Traitements Implantaires Bordeaux Caudéran Dr Bessou Dr Mora

Traitements parodontaux à Bordeaux

Traitement parodontal chirurgical

La décision chirurgicale est fondée sur deux grands objectifs

  • Réduire la présence de poches supérieures à 6 mm car le risque de progression de la maladie est élevé
  • Éliminer le saignement, témoignage de la présence d’un tissu inflammatoire résiduel sous la gencive
  • Reconstruire le tissu osseux perdu autours des racines afin de consolider

Traitement parodontal chirurgical

Docteurs Mora et Bessou à Bordeaux

Des biomatériaux de synthèse seront utilisés afin de regagner, quand cela est possible, l’os partiellement détruit par la parodontite.

Selon les situations cliniques, il sera possible de préserver la situation initiale de la gencive et donc l’esthétique du sourire.

Ces chirurgies permettront de conserver les dents sur plusieurs années grâce à un suivi professionnel.

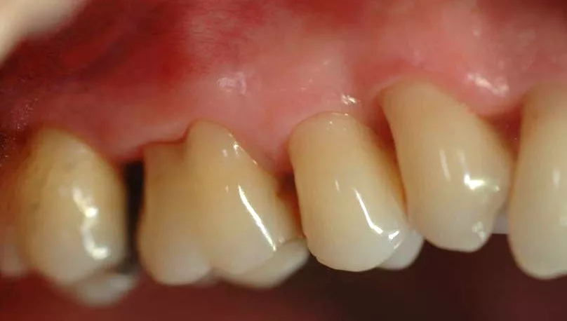
Face externe

Des techniques chirurgicales de préservation papillaire permettent de régénérer les tissus parodontaux en garantissant leur maintien esthétique. Ces techniques chirurgicales avancées s’effectuent sous aides optiques grossissantes et avec des instruments micro chirurgicaux spécifiques.

Avant l’intervention

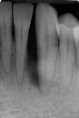
Quelques semaines après l’intervention

Prendre rendez-vous en ligne sur

Dr Francis Mora

Dr Laure Bessou